Google Bewertung
4.7
Basierend auf 119 Rezensionen
js_loader

Aktuelles Infos zu Praxis und Behandlungen

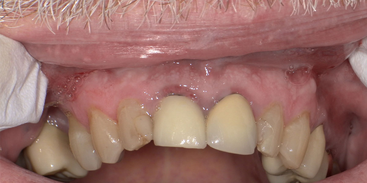
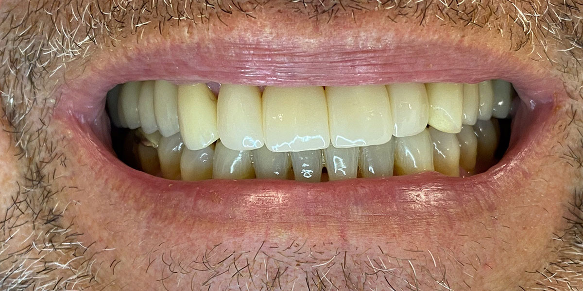
Neue Frontzahnkronen mit natürlicher Ästhetik – metallfrei, biokompatibel und aus einer Hand

In unserer Praxis im Allee-Center Hamm durften wir einem Patienten Mitte 60 zu einem neuen, selbstbewussten Lächeln verhelfen. Im Mittelpunkt standen die oberen vier Frontzähne – zwei alte Kronen auf den mittleren Schneidezähnen sowie stark gefüllte, teilweise kariöse seitliche Schneidezähne.

Vollkeramische Frontzahnversorgung bei Nichtanlage und offenem Biss – minimalinvasiv, funktionell und ästhetisch gelöst

In unserer Zahnarztpraxis im Allee-Center Hamm zeigen wir täglich, dass moderne Zahnmedizin weit mehr leisten kann als bloße „Reparatur“. Ein aktueller Behandlungsfall verdeutlicht, wie wir durch ein Zusammenspiel aus Erfahrung, digitaler Planung, unserem praxiseigenen Meisterlabor und viel Feingefühl für individuelle Patientenwünsche komplexe Situationen ohne chirurgischen Eingriff lösen konnten – besonders geeignet auch für Angstpatientinnen und -patienten.

Ästhetische Zahnkorrektur ohne Zahnspange – moderne Veneers bei jungen Patienten

In unserer Zahnarztpraxis im Allee-Center Hamm zeigen wir täglich, wie moderne Zahnmedizin funktional, ästhetisch und patientenfreundlich zugleich sein kann. Ein aktueller Fall verdeutlicht dies besonders anschaulich: Ein junger Patient, 22 Jahre alt, suchte uns auf – unglücklich über sichtbare Lücken im Frontzahnbereich, aber mit einem klaren Wunsch: Keine Zahnspange, keine Aligner – stattdessen ein festsitzendes, sofort sichtbares Ergebnis.

Natürlich schöne Frontzähne mit Zirkon

In unserer Zahnarztpraxis Budde & Yurtseven legen wir größten Wert auf hochwertige, ästhetische und gleichzeitig biokompatible Versorgungen – insbesondere im sichtbaren Frontzahnbereich. Das folgende Patientenbeispiel zeigt eindrucksvoll, wie moderne Zahnmedizin und ästhetische Zahntechnik Hand in Hand gehen können.

Komplette Zahnsanierung – alles aus einer Hand, mitten in Hamm

In unserer zentral gelegenen Zahnarztpraxis im Allee-Center Hamm durften wir wieder eine umfassende Komplettsanierung durchführen – diesmal im Ober- und Unterkiefer. Wie immer mit dabei: unser praxiseigenes Meisterlabor, kurze Wege, feste Ansprechpartner und höchste ästhetische Präzision.